Kórházban kezelnek több személyt trichinellózis miatt
Négy háromszéki került kórházba trichinellózis fertőzéssel, miután megkóstolták a házilag levágott disznó bőrét.
A sepsiszentgyörgyi sürgősségi kórház szóvivője, Nagy Demeter István szerint két gidófalvi, egy zabolai és egy Hargita megyei Ajnádról származó személy jelentkezett a sürgősségen, miután az egyikük otthonában levágott disznó bőrét megkóstolták, és rövid időre rá mindannyian rosszul érezték magukat.
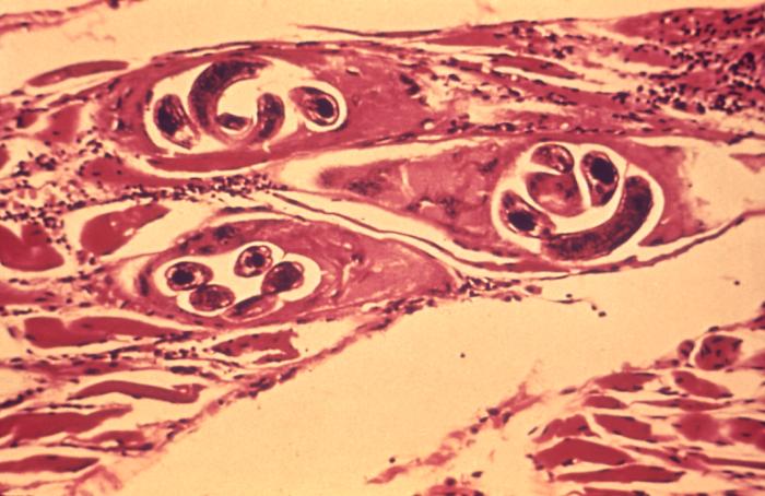
A laboratóriumi vizsgálat során kiderült, hogy a sertés trichinával volt fertőzött. A négy beteg számára felírták az ilyenkor szokásos gyógyszeres kezelést és hazaengedték őket, mondta a szóvivő.

Mint arról beszámoltunk, Háromszéken a december- január időszakban akár 30000 disznót is levágnak a háztájakon, legalábbis ennyi esetben igénylik a trichinella vizsgálatot. Sikó Barabási Sándor főállatorvos korábban a disznóvágás kapcsán kifejtette: az a legfontosabb, hogy a lakosság minden esetben végezze el, az egyébként kötelező trichinellózis vizsgálatot, lehetőleg a rekeszizomból vett mintát és az állat fülszámát vigyék a laboratóriumba.
FRISSÍTÉS: Egy újabb laboratóriumi vizsgálat szerint mégsem trichinellózis fertőzéssel, hanem egyszerű gyomorrontással került kórházba a négy beteg. A levágott állat húsa egészséges volt.
A szakember felhívja a figyelmet, hogy amennyiben kiderül, hogy a disznóhús trichinellával fertőzött, az egész húst elkobozzák és a gazda költségén elhamvasztják. Fontos azonban tudni, hogy ez esetben a hatóságok által kiállított igazolások, és a sertés felértékelése után a gazda kártérítést igényelhet.


